Our Research
Dye-Free Blood Flow/Tissue Perfusion Imaging in Laparoscopy
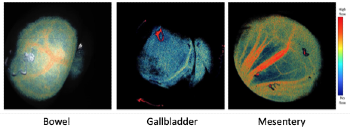
Laser Speckle Contrast Imaging (LSCI) is a non-invasive imaging technique used to visualize vascular or tissue perfusion by creating speckle patterns on the target tissue. Compared to fluorescence imaging, which requires the injection of contrast agents, LSCI permits uninterrupted visualization of blood flow and tissues without the use of surgical dyes; however, current LSCI techniques require the integration of the laser light source, fiber light guide coupling and specular reflections from tissue surfaces, and the creation of multiple incisions for ideal illumination by different lights source to counter adverse effects of shadow and angle-dependent, uneven lights.
.png?rev=d324d4b2838a463f8e0da996247e9a71)
- Single port used
- No contrast dye injection required
- Continuous and real‐time visualization
- Easily adaptable with fluorescence laparoscopy
Biliary and Urinary Tract-Specific Fluorescence Image-Guided Surgery
Our group has developed the organic fluorescent compounds that specifically target biliary (BL-760) and urinary (UL-766) tract in collaboration with researchers in National Cancer Institute Center for Cancer Research (NCI), Chemical Biology Laboratory (CBI), National Institutes of Health (NIH).
Non-Invasive, Intra‐Operative, Nerve Identification
Despite the use of visual cues, surgeons have a difficult time localizing small nerve branches with unaided eyes as they are visually indistinguishable from blood vessels or surrounding tissues. The use of electrical nerve stimulation and fluorescent dyes are helpful but their disadvantages include being invasive, distracting or toxic.
.png?rev=c35f79bf7a80468e8ea88ebc164599ed)
- Noninvasive and real‐time imaging
- Overcomes the risk of misidentifying nerves and reduces inadvertent trauma
- Reduces potential toxicity issues of surgical dyes
- Cost effective as it uses existing systems
Hyperspectral Surgical Microscope
Although some brain tumors are well-circumscribed and can be resected with relative ease, many have diffuse margins and/or may be located in eloquent cortex or other highly sensitive areas. Similarly, seizure foci may be located in functionally important areas of the brain. Thus, the location of pathologic tissues in such compromising areas of the brain poses a significant clinical dilemma to the neurosurgeon: should they remove the entirety of the pathological tissue to achieve a gross total resection while potentially risking functional injury to the healthy surrounding tissue, or should they leave some residual tumor/epileptogenic tissue, which might progress/metastasize (in the case of tumors) or continue to cause seizures (in the case of epileptogenic tissue)? Currently, preoperative MRI/CT images are used for intraoperative guidance; neurosurgeons use that positioning system along with visual analysis and clinical expertise to achieve optimal resections. However, the gross total resection cannot be confirmed until an additional round of intraoperative or postoperative imaging has been completed. The utility of a real-time imaging method to show disease margins would be immense.
Hyperspectral imaging (HSI) is a noninvasive, nonionizing imaging method that combines digital imaging and spectroscopy to capture both spatial and spectral data in real time. Whereas visual perception by the human eye is limited to three electromagnetic bands (red, green, and blue), HSI analysis is capable of segmentation into over 30 channels, which correlate to both the optical appearance as well as the chemical composition of each pixel in the image field.
This imaging modality was developed by NASA in the 1970s and 1980s for remote sensing of Earth’s surface but has since been applied to diverse fields. In medicine, HSI has demonstrated efficacy in mapping of oxygen saturation in living tissues (Giannoni et al., 2018), ictal imaging of the brain of an epilepsy patient (Noordmans et al., 2013), and detection of colon cancer (Leavesly et al., 2016), among other research applications. There are numerous other potential applications for HSI in neurosurgery, including determination of brain matter and the noninvasive measurement of intracranial pressure.
.jpg?rev=7b4c327119694890b7edbc26e0a8301d)
Should HSI be able to discriminate between normal brain and pathological brain tissue, we hypothesize that neurosurgeons will be better equipped to distinguish surgical margins of pathological tissue for safe resection, thus optimizing surgical decision-making for patients with challenging brain tumors or seizure foci.
Autonomous Surgical Robotics
We developed the first autonomous robot for performing surgical anastomoses. By combining a commercially available manipulator and camera system with custom artificial intelligence (AI) software and end-effector tools, we successfully demonstrated its operation in a preclinical validation study.